虫歯治療:できるだけ健全な歯を削らない・神経を抜かない・歯を残す治療を
| ダイレクトボンディング | 健全な歯を削らずに 直接セラミックにて修復 |
|---|---|
| 歯髄温存療法 | 神経まで達する虫歯でも 温存できる場合があります |
| 挺出による歯の保存 | 重度に虫歯が進行した歯でも 抜歯せずに温存する治療 |
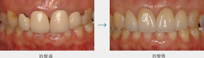
ダイレクトボンディング
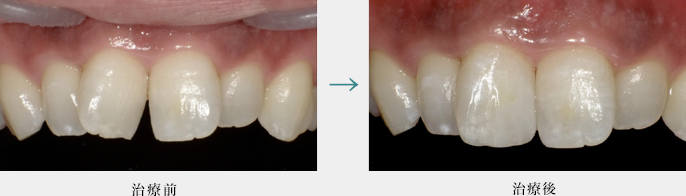
ダイレクトボンディングによる健全な歯質を温存した虫歯治療(前歯)
健全な歯質は削らず物性に優れた樹脂を詰めています

ダイレクトボンディングによる健全な歯質を温存した虫歯治療(臼歯)
健全な歯質はほとんど削らず物性に優れた樹脂を詰めています

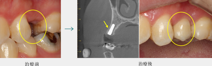
歯髄温存療法
神経(歯髄)まで達する虫歯でしたが、洗浄し薬剤で封鎖することで神経を取ることなく、治療を終えています。

神経(歯髄)に達する歯の破折でしたが、神経の温存を行い破折してしまった欠片を接着しています。

挺出による歯の保存
差し歯の中で虫歯が生じ、歯茎の深部まで虫歯が進行していました。
このままでは歯を作れないので、矯正によって歯を上方に牽引し、歯茎の中から健康な歯質を出しました。

この治療を真横から見た視点で図示すると、このようになります。

差し歯の中で虫歯が生じ、歯茎の深部まで虫歯が進行していました。
このままでは歯を作れないので、外科処置によって歯周組織を切除し、歯茎の中から健康な歯質を出しました。

この治療を真横から見た視点で図示すると、このようになります。

歯周病:歯がぐらつく・歯ぐきから出血する
| 歯周再生療法 | 失われた歯周組織の再生 |
|---|---|
| 担当衛生士による歯周初期治療 | 個々の歯列・リスクに合わせた治療を |
再生療法
歯周病の進行によって溶けてしまった骨を、歯周再生療法によって回復しています。

こちらはCTによる3次元的な画像です。
歯周病による骨の溶け具合は、歯の形態や位置によって様々です。
歯の裏側だけに限局していることもあれば、歯の全周で進行することもあります。
歯周病の診断には、3次元的に骨の形態が把握できるCT撮影が有効です。
CT画像から、歯周病の病態・進行程度を診断し、治療計画を立案します。
(ただし、再生療法は骨の溶け方によっては適応が困難な場合もあります。)

根面被覆術
様々な原因で歯ぐきが退縮し歯の根が露出した部位を再び歯ぐきで覆う治療法です。

根管治療:歯の寿命を左右する歯の根の治療
| 根管治療について | 通常の根の治療では治らない |
|---|---|
| 精密根管治療 | マイクロスコープを用いて |
| 外科的歯内療法 | 外科的に根っこの先にアプローチ |
根管治療について
歯髄は歯の神経のことで、中に神経・血管などが含まれ、栄養を供給しています。
虫歯などの原因により、細菌が歯髄まで及び、痛みが出ると歯髄を取らなくてはならない場合があります。(抜髄)
歯髄が入っていた空間を根管といい、根管を清潔な状態にし細菌感染がないようにする治療が根管治療です。
過去に根管治療を行った歯が再感染を起こした場合の治療も根管処置に含まれます。(感染根管処置)

根管治療の難しさ
① 解剖学的要因
根の長さや形は歯の種類によって人それぞれです。曲がっていたり、根の数も歯によって様々です。
神経の管(根管)はいわば川のように無数に枝分かれしているので歯の内部全てを無菌にすることは困難なのです。
② 診断の困難性
根管治療にかかわる症状は様々で、それらの原因は診断が難しい場合が多々あります。
また、破折(根が割れている)は手術をして初めてわかるケースもあり、歯の感染以外の原因からくる症状もあるため診断が難しくなります。
③ 高度な技術が要求される
根管治療は非常に細かい作業であり、根の中まで直視できないため難易度が高くなります。
根管治療の大切さ
根管治療は建築に例えるなら基礎工事となる行程です。基礎がしっかりしていなければ、見た目に美しいかぶせ物を入れても歯は長持ちしません。
また、再感染を起こし、生涯のうちで同じ歯の根管治療を繰り返し行うと歯はどんどん削られ、歯を失うリスクが高まります。
一度の根管治療の治療の正確さが大切になってくるのです。
精密根管治療
根管治療の成功率をあげるために、当院ではCTによる診断、ラバーダムの使用、ルーペやマイクロスコープによる拡大視野化での診断・治療を行います。根管内の洗浄にはレーザーや超音波器具を用いております。
→ 設備の紹介はこちら
隔壁の作成とラバーダムの装着
図1の状況で根管治療を行うと、細菌が大量に含まれている唾液が根管内に流入してしまうため、成功率が低下します。図2のように隔壁を作成してからラバーダムを装着すると(図3)、無菌環境での治療が可能になります。精密根管治療においては、徹底して隔壁の作成とラバーダム装着を行っております。

CTによる診断
CT画像ではあらゆる方向から確認することができるため、二次元のレントゲンより情報が多く、より確実な診断を行うことが可能です。

マイクロスコープによる診断・治療

レーザーや超音波器具による洗浄
根管治療において根管内の洗浄は非常に重要です。当院では、化学的洗浄法として、超音波による洗浄だけでなく、エルビウムヤグレーザーによる洗浄も併用しております。徹底的な洗浄時間を確保することで高い成功率が保たれております。

外科的歯内療法
歯根端切除術
通常の根管治療で除菌しきれず治らない場合、歯肉に切開を入れ、直接感染のある根の先を外科的に取り除く方法です。
マイクロスコープなどの拡大視野下で行うと高い成功率が得られるとされています。

審美歯科:「 歯の色や形・歯並び」が気になって思いきり笑えない
| ホワイトニング | 専用の薬剤を用いて歯の色を明るく |
|---|---|
| ダイレクトボンディング | 健全な歯を削らずに 直接セラミックにて修復 |
| セラミックによる審美修復 | 有資格技工士に依頼し 間接的セラミック修復 |
| 歯茎の形を整える手術 | 外科的に歯ぐきのラインの不揃いを改善 |
ホワイトニング
ホワイトニングは、加齢などにより変色した歯に専用の薬剤を作用させて色素を分解し、歯の色を明るくする方法です。
ホワイトニングには歯科医院内で行うオフィスホワイトニングと、患者さんご自身がご自宅でマウスピースを用いて行うホームホワイトニングがあり、当院ではホームホワイトニングを採用しています。
ダイレクトボンディング
ダイレクトボンディングは歯を大きく削らずに直接口腔内で材料を接着硬化させることで、歯の隙間や形態を修復する方法です。
ダイレクトボンディングにより前歯の隙間を改善

ダイレクトボンディングにより摩耗した歯を修復

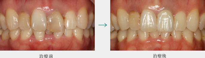
セラミック修復
セラミック修復は歯科技工士により製作されたセラミック素材のかぶせ物や詰め物による治療です。
生体に優しい材質で、審審美性の高い結果を得ることができます。



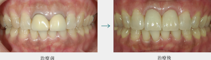
歯茎の形を整える手術
外科的に歯ぐきのラインのバランスを審美的に整えたのち、セラミックにて修復しています。


欠損補綴:抜かなければならない歯がある、または、歯を喪失してしまった
| インプラント | チタン合金の人工歯根によって歯を作る |
|---|---|
| 自家歯牙移植 | 余った親知らずがあれば移植によって再利用を |
| 精密金属床義歯 | 違和感の少ない精密なオーダーメイド義歯 |
インプラント
インプラントは歯を失った部位の骨の中にチタン製の人工の歯根を埋入する治療法です。
メリットは自分自身の歯のように咬めること、周りの歯を削ることなく治療ができることです。
デメリットは外科処置が必要になること、治療期間と費用の負担があることがあげられます。

自家歯牙移植
自家歯牙移植は、歯を失った部位に親知らずなど余っている歯を移植する治療法です。
ご自身の歯を用いるので、身体に優しく機能回復も同時に行うことのできる方法です。

精密金属床義歯
「義歯は違和感が大きいし、動きがあるので使えない」という不快感を少しでも減らすため「小さく・薄く・安定した義歯」づくりを目指しております。
冠せものに特殊加工を施し、そこに義歯の維持装置が高精度で適合することでなるべく面積の狭い義歯床を実現しています。
(義歯床の大きさは、個々の咬合力の強さや欠損形態に左右されます)


