- マイクロルーペによって
精密な診断・治療が可能に
▼ - マイクロスコープ(治療用顕微鏡)
によるさらなる高倍率拡大治療
▼ - CTによる3次元撮影で
歯と歯周組織の精密検査
▼ - 唾液の侵入を防ぐ
ラバーダムやZOOを常に使用
▼
マイクロルーぺによって精密な治療が可能に
「治療した部位は、どのくらい保つのだろうか?」というのは治療後に、誰もが感じる疑問でしょう。
数年で再治療になってしまう場合もあれば、何十年も機能し続けることもあります。その違いはどこにあるのでしょうか?
長持ちさせるためには、もちろん日頃のセルフケアが重要ですが、どれだけ正確・精密に治療を施したかという点も重要になります。
人間の裸眼における識別域はおよそ0.2mmが限界と言われておりますが、歯科においてはより小さな範囲を識別して治療を行う必要があります。つまり拡大視野下では肉眼と比べ、より精密で正確な「診断」が可能になり、それに対し確実で低侵襲な「治療」を行うことができるのです。
当院のドクターは、拡大視野が求められるすべての治療において、高倍率(6~8倍)のマイクロルーぺを使用することを約束します。

マイクロスコープによってさらなる高倍率拡大視野を
歯科の中には、マイクロルーぺ以上の倍率が求められる治療があります。
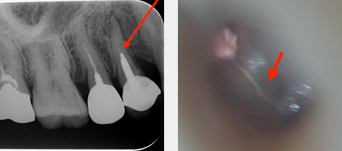
その代表的なものが、「根管治療」(歯根内部の神経の治療)です。
根管内部は「見えないもの」とされていて、手探りで治療をするしかありませんでした。しかし、マイクロスコープの出現によって最大24倍という高倍率の視野がもたらされるようになりました。
右の写真のように、根管は非常に複雑な形態を呈しております。(おおよそですが、歯全体の長さは2cm、幅は1cmで、根管の太さは1mm以下です。)
歯の寿命に大きく関わる根管治療の成績を高めるにあたって、マイクロスコープは欠かせないものとなっております。
歯根の形態がまっすぐであれば、根尖孔(根っこの先)まで確認できます。(24倍拡大率の視野)
マイクロルーぺの項目にある8倍拡大率の視野よりも、さらに明るく鮮明に歯の内部が見えます。
右の動画は、サージテル社が作成した「拡大視野における歯科治療の重要性」の動画です。患者さんに向けのわかりやすい内容になっておりますので、是非ご覧ください。

マイクロスコープによる診断
裸眼では確認できない歯のひび割れや虫歯を確認することができます。

マイクロスコープによる治療
裸眼では難しい処置が可能になることで、治療後の予知性を高めることにつながります。
〔例:根管内の破折器具の除去〕

CTによる3次元撮影で歯と歯周組織の精密検査
歯の内部や、骨の内部など「見えない」部位を対象とする歯科治療において、「事前に見える状態にする」診査は必要不可欠であると考えております。
治療を始める前にCTによる3次元的な診査を行うことによって、精度の高い診断が可能になります。
もちろんデジタルレントゲンのために従来のレントゲンよりも被曝量は少なく、低照射線量による撮影が可能となっています。

唾液の侵入を防ぐラバーダムやZOOを常に使用
歯科治療において「唾液は大敵」です。
唾液の中には細菌が大量に存在するため、根管内に流入をさせてしまうと内部に新たな感染を引き起こしてしまいます。
それを防ぐためにラバーダム(青いゴムのシート)は必須です。
修復物を歯に接着させる際にも、唾液が歯の表面に付着していると歯と修復物の接着が阻害されます。
当院では接着操作を行う際には必ずZOO(唾液を吸引するホース状の器具)を用いて唾液の排除を徹底しております。

